2016-04-26 Causas de la neumonía: hongos, virus y bacterias
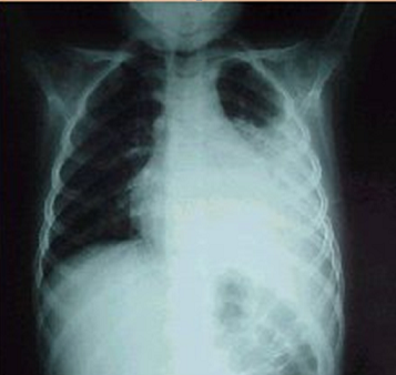
La neumonía es una infección del pulmón que puede ser ocasionada por: bacterias, virus u hongos.
La neumonía es una infección del pulmón que puede ser ocasionada por: bacterias, virus u hongos.
Las madres deben saber que si el niño no se vacuna, tiene susceptibilidad a una gran variedad de enfermedades que son prevenibles.
Si no dispone de agua y jabón, debe utilizar un producto a base de alcohol para que pueda eliminar parte de los microorganismos.
Las precauciones para evitar el contagio de infecciones se deben cumplir desde que se inicia la jornada en el centro de salud.
El médico internista es el especialista encargado de la atención integral del paciente, con una visión científica y humanística.
No se debe colocar tomate, cebolla o harina porque al hacerlo sobre la piel quemada, se puede profundizar aún más la herida.
Las fórmulas pueden estar contaminadas por muchas condiciones que son intrínsecas a ellas.
Se describen las consecuencias de infectarse de zika durante el embarazo y el seguimiento que debe hacerse la paciente durante la gestación.
Síntomas y prevención del prolapso.
La Enfermedad de Hirschsprung, también conocida como Megacolon Congénito, se presenta en 1 de cada 5000 neonatos.
Conocimiento médico donde se necesita